Casi del Mese di Novembre 2022
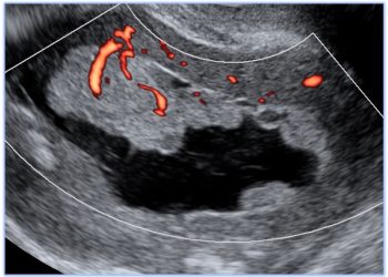
Cari soci, finalmente online le soluzioni dei casi del mese di Novembre Caso 1 Per il seguente caso è disponibile...
Cari soci, finalmente online le soluzioni dei casi del mese di Novembre Caso 1 Per il seguente caso è disponibile...
Per il mese di Novembre due nuovi Journal Club! Grazie a Graziana De Lucia e Francesca Arezzo! Buona Lettura! ...
Cari colleghi, vi presentiamo la guida al counseling di Novembre sui feti Small for Gestational Age!! Potrete scaricarla cliccando sul...
Per il mese di Novembre SIEOG Giovani presenta il Webinar sulla velocimetria Doppler Materno-Fetale! Per i soci SIEOG la registrazione...
Per Ottobre due nuovi Journal Club! Grazie a Daniela Casati e Andrea Dall'Asta! Buona Lettura! JC 1 [pdf-embedder...
Cari colleghi, vi presentiamo la guida al counseling di Ottobre relativa alla ridotta riserva ovarica e alla conta dei follicoli...
Cari soci, questo mese un nuovo video "How to do", dedicato allo studio ecografico della pelvi normale. Grazie a Carlotta...
Cari soci, finalmente online le soluzioni dei casi clinici del mese di Ottobre!! Caso 1 [pdf-embedder...
I comitati di studio sull'Ecografia Ginecologica e SIEOG Giovani presentano il Webinar sul ruolo dell'ecografia nello studio della patologia ovarica benigna....
Per Settembre due nuovi Journal Club! Grazie a Federica Bellussi e Daniela Giuliani! Buona Lettura! JC 1 [pdf-embedder...
Powered by OLOMEDIA - © 2020
Powered by OLOMEDIA - © 2020