How To Do Febbraio 2023: studio 3D dell’encefalo fetale
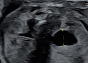
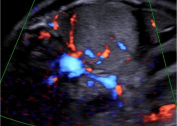
Cari soci, questo mese un nuovo video "How to do", dedicato allo studio 3D dell'encefalo fetale Grazie a Daniele Di...
Cari soci, questo mese un nuovo video "How to do", dedicato allo studio 3D dell'encefalo fetale Grazie a Daniele Di...
Per il mese di Febbraio SIEOG Giovani presenta il Webinar su IUGR: dalla diagnosi al management Per i soci SIEOG...
Cari soci, finalmente online le soluzioni dei casi del mese di Gennaio Grazie a Danilo Buca e Gabriella Meccariello...
Cari colleghi, vi presentiamo la guida al counseling di Gennaio sul canale atrio-ventricolare. Potrete scaricarla cliccando sul link. Grazie a...
Per il mese di gennaio due nuovi Journal Club! Grazie a Daniela Casati e Mara Albanese! Buona Lettura! JC...
Cari soci, questo mese un nuovo video "How to do", dedicato alle Curve di Crescita Fetale. Grazie a Ilaria Fantasia!...
Per il mese di Gennaio SIEOG Giovani e il Comitato di Studio in Ecografia Ginecologica presentano il Webinar sulla Patologia...
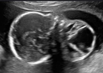
Cari soci, questo mese un nuovo video "How to do", dedicato alla corretta misurazione del CRL fetale s Grazie a...
Cari soci, finalmente online le soluzioni dei casi di Dicembre!!! Caso 1 [pdf-embedder...
Cari colleghi, vi presentiamo la guida al counseling di Dicembre sulla Malattia Infiammatoria Pelvica. Potrete scaricarla cliccando sul link. Grazie...
Powered by OLOMEDIA - © 2020
Powered by OLOMEDIA - © 2020