Nuovo Consiglio Direttivo SIEOG 2026-2028
"La SIEOG – Società Italiana di Ecografia Ostetrica e Ginecologica e Metodologie Biofisiche annuncia il nuovo Consiglio Direttivo recentemente eletto,...
"La SIEOG – Società Italiana di Ecografia Ostetrica e Ginecologica e Metodologie Biofisiche annuncia il nuovo Consiglio Direttivo recentemente eletto,...
Per il mese di Marzo due nuovi Journal Club! Grazie a Riccardo Buscemi e Giulia Chiarello!! Buona Lettura!...
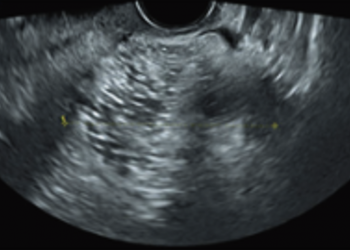
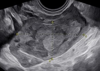
Cari soci, per il mese di Marzo proponiamo i seguenti casi di interesse ecografico!! Attendiamo le vostre risposte all'indirizzo mail:...
Cari colleghi, vi presentiamo la guida al counseling di Marzo 2026 sulla torsione ovarica Potrete scaricarla cliccando sul link. Grazie...
Cari soci, SIEOG giovani presenta il Webinar su Landmark anatomici cardiaci: anomalie degli efflussi e dell’incrocio e anomalie della scansione...
Per il mese di Febbraio due nuovi Journal Club! Grazie a Sara Zullino e Gabriele Ruffo!! Buona Lettura!...
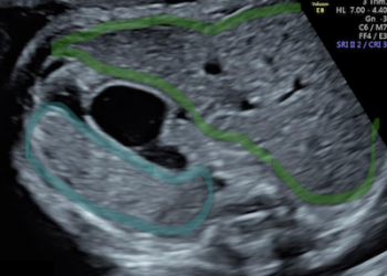
Cari soci, finalmente online le soluzioni dei casi del mese di Febbraio Grazie a Raffaella Cioffi e Danilo Buca!! Caso...
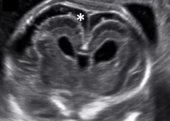
Cari colleghi, vi presentiamo la guida al counseling di Febbraio 2026 sulla microcefalia. Potrete scaricarla cliccando sul link. Grazie a...
Cari soci, SIEOG giovani presenta il Webinar su landmark anatomici cardiaci: situs e posizione cardiaca La registrazione dell'evento è fruibile...
Cari soci, finalmente online le risposte dei casi del mese di Gennaio Caso 1 - [pdf-embedder...
Powered by OLOMEDIA - © 2020
Powered by OLOMEDIA - © 2020