Journal Club Dicembre 2023
Per il mese di Dicembre due nuovi Journal Club! Grazie a Mara Albanese e Sara Zullino! Buona Lettura! JC...
Per il mese di Dicembre due nuovi Journal Club! Grazie a Mara Albanese e Sara Zullino! Buona Lettura! JC...
La registrazione dell'evento è fruibile cliccando su VIDEO [pdf-embedder url="https://www.sieog.it/wp-content/uploads/2023/12/webinar-sieog-primo-trimestre-5-12-23-1.pdf" title="webinar sieog primo...
La registrazione dell'evento è fruibile cliccando su Video
La registrazione dell'evento è fruibile cliccando su VIDEO [pdf-embedder url="https://www.sieog.it/wp-content/uploads/2023/11/Webinar-piemonte-ginecologia-7-11-23.pdf" title="Webinar piemonte ginecologia...
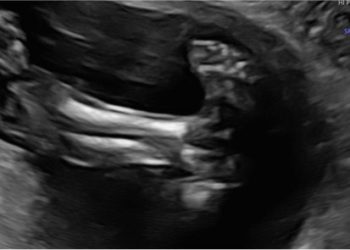
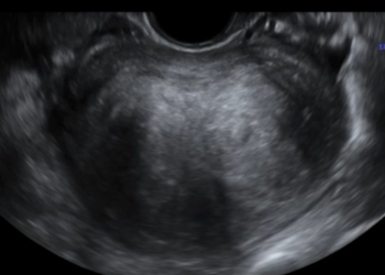
Cari soci, questo mese un nuovo video "How to do", dedicato allo studio ecografico di Placenta Accreta Spectrum (PAS) Grazie...
Per il mese di Novembre due nuovi Journal Club! Grazie a Daniela Giuliani e Grazia Volpe! Buona Lettura! JC...
Cari colleghi, vi presentiamo la guida al counseling di Novembre 2023 su Labiopalatoschisi. Potrete scaricarla cliccando sul link. Grazie a...
Cari soci, finalmente online le soluzioni dei casi del mese di Novembre!! Grazie a Sara Zullino e Gian Piero...
Per il mese di Dicembre SIEOG Giovani presenta il Webinar sullo screening delle cardiopatie congenite nel primo trimestre. La registrazione...
Per il mese di Novembre SIEOG Giovani presenta il Webinar sulla diagnosi e classificazione dei Miomi. La registrazione dell'evento è...
Powered by OLOMEDIA - © 2020
Powered by OLOMEDIA - © 2020