How To Do Febbraio 2024: Istmocele
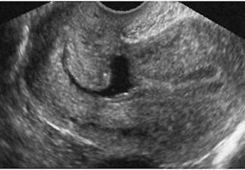
Cari soci, questo mese un nuovo video "How to do", dedicato allo studio ecografico dell'istmocele Grazie a Daniela Giuliani! Il...
Cari soci, questo mese un nuovo video "How to do", dedicato allo studio ecografico dell'istmocele Grazie a Daniela Giuliani! Il...
Per il mese di Febbraio SIEOG Giovani presenta il Webinar sulla patologia tubarica Per i soci la registrazione dell'evento...
Cari colleghi, vi presentiamo la guida al counseling di Gennaio 2024 sulla iperstimolazione ovarica Potrete scaricarla cliccando sul link. Grazie...
Cari soci, questo mese un nuovo video "How to do", dedicato allo studio ecografico del situs cardiaco Grazie a Antonia...
Cari soci, finalmente on line le soluzioni dei casi del mese di Gennaio!!!! Grazie a Grazia Volpe e Debora...
Per il mese di Gennaio due nuovi Journal Club! Grazie a Tiziana Fanelli e Danilo Buca! Buona Lettura! ...
Per il mese di Gennaio SIEOG Giovani presenta il Webinar sullo studio 2D e 3D del viso fetale. Per...
Cari soci, questo mese un nuovo video "How to do", dedicato all'ecografia in sala parto Grazie a Federica Bellussi! Il...
Cari soci, finalmente online le soluzioni dei casi del mese di Dicembre!! Grazie a Antonella Biscione e Martina Gerbino!! Caso...
Cari colleghi, vi presentiamo la guida al counseling di Dicembre 2023 sulla megavescica fetale. Potrete scaricarla cliccando sul link. Grazie...
Powered by OLOMEDIA - © 2020
Powered by OLOMEDIA - © 2020