Sieog
Società Italiana di Ecografia Ostetrica e Ginecologica e Metodologie Biofisiche
ISCRIVITI
  • Società Scientifica
    • Statuto
    • Regolamento
    • Direttivo
    • Bilancio
    • Sezioni Regionali
    • Contatti
  • Comitati
    • Comitato Ecografia in Sala Parto – EGEO
    • Comitato Primo Trimestre e Test Genetici non Invasivi
    • Comitato Gravidanza Plurima
    • Comitato Crescita Fetale
    • Comitato di studio II Trimestre
    • Comitato Parto Pretermine
    • Comitato di studio Ginecologia – Patologia Benigna
    • Comitato di studio Ginecologia – Patologia Maligna
    • Comitato di Studio sulla Placenta
    • Comitato Medico Legale ed Apparecchiature
    • Comitato SieoGiovani
    • Comitato di studio OPUS
    • Comitato Emodinamica in Gravidanza
    • Comitato Ecografia di Riferimento
    • Comitato Neurosonografia Fetale
    • Comitato di studio legge 194
  • Info e Formazione
    • Approfondimenti
    • Educational lecturers e corsi on line
      • Corsi on line
      • Webinar
      • Cardiotocografia in travaglio
      • Ecocardiografia fetale
      • Ecografica ginecologica
      • Sistema Nervoso Centrale Fetale
      • Soft markers
    • How to do…
    • Journal Club
    • Il caso del mese
    • Articoli Scientifici
    • Manuali
    • Prodotti Multimediali
    • Rivista
    • Canale Donna
    • Convenzioni Sieog – Marsh
  • Corsi e Congressi
    • Eventi in Arrivo
    • Patrocinio SIEOG
    • Contributo SIEOG
    • XXII Congresso Nazionale SIEOG – Cagliari 2021
      • Libro degli Abstract
  • Risorse Cliniche
    • Referti Informative Consensi
    • Linee Guida
    • Documenti e Statement SIEOG
    • Il Legale e noi
    • La Traslucenza Nucale
    • Guida al Counselling
    • Atlante Ecografico
  • Shop
    • Login / Account
    • Registrazione
    • Iscrizione
    • Manuali
    • Multimediali
  • .
  • Iscriviti
Nessun risultato
Visualizza tutti i risultati
Sieog
  • Società Scientifica
    • Statuto
    • Regolamento
    • Direttivo
    • Bilancio
    • Sezioni Regionali
    • Contatti
  • Comitati
    • Comitato Ecografia in Sala Parto – EGEO
    • Comitato Primo Trimestre e Test Genetici non Invasivi
    • Comitato Gravidanza Plurima
    • Comitato Crescita Fetale
    • Comitato di studio II Trimestre
    • Comitato Parto Pretermine
    • Comitato di studio Ginecologia – Patologia Benigna
    • Comitato di studio Ginecologia – Patologia Maligna
    • Comitato di Studio sulla Placenta
    • Comitato Medico Legale ed Apparecchiature
    • Comitato SieoGiovani
    • Comitato di studio OPUS
    • Comitato Emodinamica in Gravidanza
    • Comitato Ecografia di Riferimento
    • Comitato Neurosonografia Fetale
    • Comitato di studio legge 194
  • Info e Formazione
    • Approfondimenti
    • Educational lecturers e corsi on line
      • Corsi on line
      • Webinar
      • Cardiotocografia in travaglio
      • Ecocardiografia fetale
      • Ecografica ginecologica
      • Sistema Nervoso Centrale Fetale
      • Soft markers
    • How to do…
    • Journal Club
    • Il caso del mese
    • Articoli Scientifici
    • Manuali
    • Prodotti Multimediali
    • Rivista
    • Canale Donna
    • Convenzioni Sieog – Marsh
  • Corsi e Congressi
    • Eventi in Arrivo
    • Patrocinio SIEOG
    • Contributo SIEOG
    • XXII Congresso Nazionale SIEOG – Cagliari 2021
      • Libro degli Abstract
  • Risorse Cliniche
    • Referti Informative Consensi
    • Linee Guida
    • Documenti e Statement SIEOG
    • Il Legale e noi
    • La Traslucenza Nucale
    • Guida al Counselling
    • Atlante Ecografico
  • Shop
    • Login / Account
    • Registrazione
    • Iscrizione
    • Manuali
    • Multimediali
  • .
  • Iscriviti
Nessun risultato
Visualizza tutti i risultati
Sieog
Home How to do

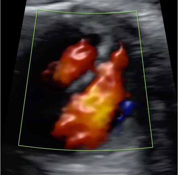
How To Do Dicembre 2021: difetti di settazione del cuore fetale

22 Dicembre 2021
How To Do Dicembre 2021: difetti di settazione del cuore fetale
Cari soci, questo mese un nuovo video "How to do", sullo studio dei difetti di settazione del cuore
Iscriviti o Accedi per leggere il resto di questo contenuto.
Nb. Qualora non riuscissi a visualizzare i contenuti riservati agli abbonati vertifica lo stato della tua iscrizione con la segreteria.
Share320Tweet200Send
Post Successivo
Journal Club Febbraio 2020

Journal Club Dicembre 2021

Questo sito genera cookie, tutti necessari per il suo corretto funzionamento. Qui la nostra cookie policy.
Cookie necessari

Google Analytics cookies
Cookie utili al funzionamento di Google Analytics (con anonimizzazione indirizzo IP per inibire la profilazione)

Session cookies
Cookie utili al funzionamento della sessione utente del sito

Elenco cookie - Privacy policy - Cookie policy
x
Cookies?
Facebook Twitter
Sieog

S.I.E.O.G.
Società Italiana di Ecografia Ostetrica Ginecologia e Metodologie Biofisiche

Codice Fiscale: 97000600789

Informazioni sul sito

  • Sostienici
  • Links
  • Mappa del sito
  • Privacy Policy
  • Cookie Policy
  • Credits

Partner

Powered by OLOMEDIA - © 2020

Nessun risultato
Visualizza tutti i risultati
  • Società Scientifica
    • Statuto
    • Regolamento
    • Direttivo
    • Bilancio
    • Sezioni Regionali
    • Contatti
  • Comitati
    • Comitato Ecografia in Sala Parto – EGEO
    • Comitato Primo Trimestre e Test Genetici non Invasivi
    • Comitato Gravidanza Plurima
    • Comitato Crescita Fetale
    • Comitato di studio II Trimestre
    • Comitato Parto Pretermine
    • Comitato di studio Ginecologia – Patologia Benigna
    • Comitato di studio Ginecologia – Patologia Maligna
    • Comitato di Studio sulla Placenta
    • Comitato Medico Legale ed Apparecchiature
    • Comitato SieoGiovani
    • Comitato di studio OPUS
    • Comitato Emodinamica in Gravidanza
    • Comitato Ecografia di Riferimento
    • Comitato Neurosonografia Fetale
    • Comitato di studio legge 194
  • Info e Formazione
    • Approfondimenti
    • Educational lecturers e corsi on line
      • Corsi on line
      • Webinar
      • Cardiotocografia in travaglio
      • Ecocardiografia fetale
      • Ecografica ginecologica
      • Sistema Nervoso Centrale Fetale
      • Soft markers
    • How to do…
    • Journal Club
    • Il caso del mese
    • Articoli Scientifici
    • Manuali
    • Prodotti Multimediali
    • Rivista
    • Canale Donna
    • Convenzioni Sieog – Marsh
  • Corsi e Congressi
    • Eventi in Arrivo
    • Patrocinio SIEOG
    • Contributo SIEOG
    • XXII Congresso Nazionale SIEOG – Cagliari 2021
      • Libro degli Abstract
  • Risorse Cliniche
    • Referti Informative Consensi
    • Linee Guida
    • Documenti e Statement SIEOG
    • Il Legale e noi
    • La Traslucenza Nucale
    • Guida al Counselling
    • Atlante Ecografico
  • Shop
    • Login / Account
    • Registrazione
    • Iscrizione
    • Manuali
    • Multimediali
  • .
  • Iscriviti

Powered by OLOMEDIA - © 2020

Accedi al tuo account di seguito

Password dimenticata?

Compila i moduli qui sotto per registrarti

Tutti i campi sono obbligatori. Accesso

Recupera la tua password

Inserisci il tuo nome utente o indirizzo email per reimpostare la password.

Accesso