Sieog
Società Italiana di Ecografia Ostetrica e Ginecologica e Metodologie Biofisiche
ISCRIVITI
  • Società Scientifica
    • Statuto
    • Regolamento
    • Direttivo
    • Bilancio
    • Sezioni Regionali
    • Contatti
  • Comitati
    • Comitato Ecografia in Sala Parto – EGEO
    • Comitato Primo Trimestre e Test Genetici non Invasivi
    • Comitato Gravidanza Plurima
    • Comitato Crescita Fetale
    • Comitato di studio II Trimestre
    • Comitato Parto Pretermine
    • Comitato di studio Ginecologia – Patologia Benigna
    • Comitato di studio Ginecologia – Patologia Maligna
    • Comitato di Studio sulla Placenta
    • Comitato Medico Legale ed Apparecchiature
    • Comitato SieoGiovani
    • Comitato di studio OPUS
    • Comitato Emodinamica in Gravidanza
    • Comitato Ecografia di Riferimento
    • Comitato Neurosonografia Fetale
    • Comitato di studio legge 194
  • Info e Formazione
    • Approfondimenti
    • Educational lecturers e corsi on line
      • Corsi on line
      • Webinar
      • Cardiotocografia in travaglio
      • Ecocardiografia fetale
      • Ecografica ginecologica
      • Sistema Nervoso Centrale Fetale
      • Soft markers
    • How to do…
    • Journal Club
    • Il caso del mese
    • Articoli Scientifici
    • Manuali
    • Prodotti Multimediali
    • Rivista
    • Canale Donna
    • Convenzioni Sieog – Marsh
  • Corsi e Congressi
    • Eventi in Arrivo
    • Patrocinio SIEOG
    • Contributo SIEOG
    • XXII Congresso Nazionale SIEOG – Cagliari 2021
      • Libro degli Abstract
  • Risorse Cliniche
    • Referti Informative Consensi
    • Linee Guida
    • Documenti e Statement SIEOG
    • Il Legale e noi
    • La Traslucenza Nucale
    • Guida al Counselling
    • Atlante Ecografico
  • Shop
    • Login / Account
    • Registrazione
    • Iscrizione
    • Manuali
    • Multimediali
  • .
  • Iscriviti
Nessun risultato
Visualizza tutti i risultati
Sieog
  • Società Scientifica
    • Statuto
    • Regolamento
    • Direttivo
    • Bilancio
    • Sezioni Regionali
    • Contatti
  • Comitati
    • Comitato Ecografia in Sala Parto – EGEO
    • Comitato Primo Trimestre e Test Genetici non Invasivi
    • Comitato Gravidanza Plurima
    • Comitato Crescita Fetale
    • Comitato di studio II Trimestre
    • Comitato Parto Pretermine
    • Comitato di studio Ginecologia – Patologia Benigna
    • Comitato di studio Ginecologia – Patologia Maligna
    • Comitato di Studio sulla Placenta
    • Comitato Medico Legale ed Apparecchiature
    • Comitato SieoGiovani
    • Comitato di studio OPUS
    • Comitato Emodinamica in Gravidanza
    • Comitato Ecografia di Riferimento
    • Comitato Neurosonografia Fetale
    • Comitato di studio legge 194
  • Info e Formazione
    • Approfondimenti
    • Educational lecturers e corsi on line
      • Corsi on line
      • Webinar
      • Cardiotocografia in travaglio
      • Ecocardiografia fetale
      • Ecografica ginecologica
      • Sistema Nervoso Centrale Fetale
      • Soft markers
    • How to do…
    • Journal Club
    • Il caso del mese
    • Articoli Scientifici
    • Manuali
    • Prodotti Multimediali
    • Rivista
    • Canale Donna
    • Convenzioni Sieog – Marsh
  • Corsi e Congressi
    • Eventi in Arrivo
    • Patrocinio SIEOG
    • Contributo SIEOG
    • XXII Congresso Nazionale SIEOG – Cagliari 2021
      • Libro degli Abstract
  • Risorse Cliniche
    • Referti Informative Consensi
    • Linee Guida
    • Documenti e Statement SIEOG
    • Il Legale e noi
    • La Traslucenza Nucale
    • Guida al Counselling
    • Atlante Ecografico
  • Shop
    • Login / Account
    • Registrazione
    • Iscrizione
    • Manuali
    • Multimediali
  • .
  • Iscriviti
Nessun risultato
Visualizza tutti i risultati
Sieog
Home Guida al Counselling

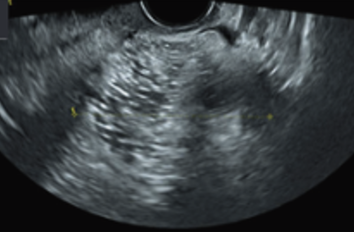
Guida al Counselling di Settembre 2025: teratoma cistico maturo

27 Settembre 2025
Guida al Counselling di Settembre 2025: teratoma cistico maturo

Cari colleghi,

vi presentiamo la guida al counseling di Settemnbre 2025 sul teratoma cistico maturo

Potrete scaricarla cliccando sul link.

Grazie a Ilaria De Blasis!

 

 

 

 

 

 

 

 

 

 

guida al counseling teratoma corretto

 

Scarica la scheda counseling

Share241Tweet151Send
Post Successivo
Journal Club Febbraio 2020

Journal Club Settembre 2025

Questo sito genera cookie, tutti necessari per il suo corretto funzionamento. Qui la nostra cookie policy.
Cookie necessari

Google Analytics cookies
Cookie utili al funzionamento di Google Analytics (con anonimizzazione indirizzo IP per inibire la profilazione)

Session cookies
Cookie utili al funzionamento della sessione utente del sito

Elenco cookie - Privacy policy - Cookie policy
x
Cookies?
Facebook Twitter
Sieog

S.I.E.O.G.
Società Italiana di Ecografia Ostetrica Ginecologia e Metodologie Biofisiche

Codice Fiscale: 97000600789

Informazioni sul sito

  • Sostienici
  • Links
  • Mappa del sito
  • Privacy Policy
  • Cookie Policy
  • Credits

Partner

Powered by OLOMEDIA - © 2020

Nessun risultato
Visualizza tutti i risultati
  • Società Scientifica
    • Statuto
    • Regolamento
    • Direttivo
    • Bilancio
    • Sezioni Regionali
    • Contatti
  • Comitati
    • Comitato Ecografia in Sala Parto – EGEO
    • Comitato Primo Trimestre e Test Genetici non Invasivi
    • Comitato Gravidanza Plurima
    • Comitato Crescita Fetale
    • Comitato di studio II Trimestre
    • Comitato Parto Pretermine
    • Comitato di studio Ginecologia – Patologia Benigna
    • Comitato di studio Ginecologia – Patologia Maligna
    • Comitato di Studio sulla Placenta
    • Comitato Medico Legale ed Apparecchiature
    • Comitato SieoGiovani
    • Comitato di studio OPUS
    • Comitato Emodinamica in Gravidanza
    • Comitato Ecografia di Riferimento
    • Comitato Neurosonografia Fetale
    • Comitato di studio legge 194
  • Info e Formazione
    • Approfondimenti
    • Educational lecturers e corsi on line
      • Corsi on line
      • Webinar
      • Cardiotocografia in travaglio
      • Ecocardiografia fetale
      • Ecografica ginecologica
      • Sistema Nervoso Centrale Fetale
      • Soft markers
    • How to do…
    • Journal Club
    • Il caso del mese
    • Articoli Scientifici
    • Manuali
    • Prodotti Multimediali
    • Rivista
    • Canale Donna
    • Convenzioni Sieog – Marsh
  • Corsi e Congressi
    • Eventi in Arrivo
    • Patrocinio SIEOG
    • Contributo SIEOG
    • XXII Congresso Nazionale SIEOG – Cagliari 2021
      • Libro degli Abstract
  • Risorse Cliniche
    • Referti Informative Consensi
    • Linee Guida
    • Documenti e Statement SIEOG
    • Il Legale e noi
    • La Traslucenza Nucale
    • Guida al Counselling
    • Atlante Ecografico
  • Shop
    • Login / Account
    • Registrazione
    • Iscrizione
    • Manuali
    • Multimediali
  • .
  • Iscriviti

Powered by OLOMEDIA - © 2020

Accedi al tuo account di seguito

Password dimenticata?

Compila i moduli qui sotto per registrarti

Tutti i campi sono obbligatori. Accesso

Recupera la tua password

Inserisci il tuo nome utente o indirizzo email per reimpostare la password.

Accesso