Casi del Mese di Agosto 2022
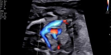
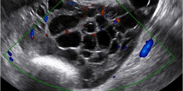
Cari soci, finalmente online le soluzioni dei casi clinici di Agosto!! Caso 1 Per il seguente caso è disponibile un breve video Video [pdf-embedder url="https://www.sieog.it/wp-content/uploads/2022/08/caso-del-mese-agosto-Quaresima-risposta.pdf" title="caso del mese agosto...
Leggi di più










