Casi del Mese di Luglio 2024
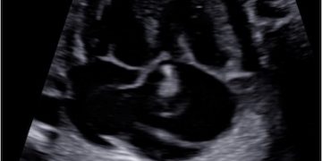
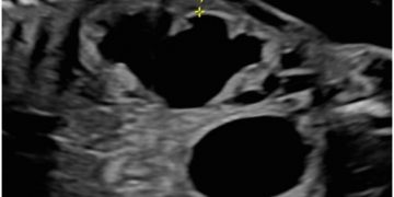
Cari soci, finalmente online le soluzioni dei casi del mese di Luglio Grazie a Carlotta Zorzi e Daniele Di Mascio!! Caso 1 - video [pdf-embedder url="https://www.sieog.it/wp-content/uploads/2024/07/risposta-Casodelmese_Luglio20241.pdf" title="risposta...
Leggi di più










