Guida al Counseling di Agosto 2022: endometriosi
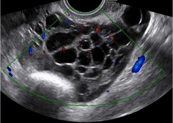
Cari colleghi, vi presentiamo la guida al counseling di Agosto relativa alla diagnosi e alla gestione dell'endometriosi Potrete scaricarla cliccando...
Cari colleghi, vi presentiamo la guida al counseling di Agosto relativa alla diagnosi e alla gestione dell'endometriosi Potrete scaricarla cliccando...
Cari soci, questo mese un nuovo video "How to do", sulla modalità di acquisizione dei volumi 3D e 4D in...
Cari Soci, Il 14 novembre si terrà l’evento online di chiusura della Maratona per la Solidarietà a favore di Shanti...
Cari soci, finalmente online le soluzioni dei casi del mese di Luglio 2022!!! Caso 1 [pdf-embedder url="https://www.sieog.it/wp-content/uploads/2022/07/Caso-del-mese-Sieog-Luglio-2022-soluzione-Fanelli.pdf" title="Caso...
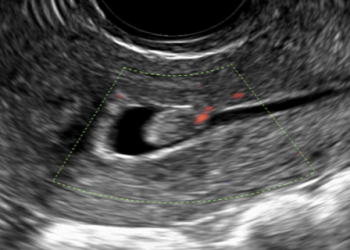
Cari colleghi, vi presentiamo la guida al counseling di Luglio relativa alla diagnosi e alla gestione dell'idrope fetale Potrete scaricarla cliccando...
Per Luglio due nuovi Journal Club! Grazie a Valentina D'Ambrosio e Debora Verri! Buona Lettura! JC 1 [pdf-embedder...
Cari soci, questo mese un nuovo video "How to do", sulla valutazione ecografica dell'endometrio e della cavità uterina secondo il...
Cari soci, vi presentiamo il documento SIEOG elaborato dal Comitato sull’ecografia di riferimento che si propone di identificare i requisiti...
I comitati di studio sulla placenta e SIEOG Giovani presentano il Webinar sul ruolo dell'ecografia nello studio dei PAS disorders. Per...
Cari soci, questo mese un nuovo video "How to do", sull'utilizzo del 3D nello studio dell'utero e dell'endometrio. Grazie a...
Powered by OLOMEDIA - © 2020
Powered by OLOMEDIA - © 2020