How To Do Novembre 2021: Amniocentesi
Cari soci, questo mese un nuovo video "How to do", sulla metodologia di esecuzione dell'amniocentesi. Grazie a Tiziana Fanelli! Il video è accessibile ai soli soci SIEOG attraverso questo LINK.
Leggi di piùCari soci, questo mese un nuovo video "How to do", sulla metodologia di esecuzione dell'amniocentesi. Grazie a Tiziana Fanelli! Il video è accessibile ai soli soci SIEOG attraverso questo LINK.
Leggi di piùCari soci, questo mese un nuovo video "How to do", sulla metodologia di esecuzione della villocentesi. Grazie ad Andrea Dall'Asta e Gianluca Schera! Il video è accessibile ai soli soci...
Leggi di piùCari soci, questo mese un nuovo "How to do", sulla conta dei follicoli antrali. Per un problema tecnico non è stato possibile integrare l'audio, ma trovate in basso la versione...
Leggi di piùCari soci, questo mese un nuovo video "How to do", sulla diagnosi ecografica di gravidanza su cicatrice di pregresso taglio cesareo. Grazie a Francesco Forlani! Il video è accessibile ai...
Leggi di piùCari soci, questo mese un nuovo video "How to do", sulla diagnosi ecografica di gravidanza ectopica. Grazie a Danilo Buca! Il video è accessibile ai soli soci SIEOG attraverso questo...
Leggi di piùCari soci, questo mese un nuovo video "How to do", sulla diagnosi ecografia di patologia tubarica nel contesto della malattia infiammatoria pelvica. Grazie a Debora Verri! Il video è accessibile...
Leggi di piùCari soci, questo mese un nuovo video "How to do", sulla diagnosi ecografia di aborto nel primo trimestre. Grazie a Laura Sarno! Il video è accessibile ai soli soci SIEOG...
Leggi di piùCari soci, questo mese un nuovo video "How to do", sull'approccio ecografico per l'endometriosi anteriore e posteriore. Grazie ad Alba Piras! Il video è accessibile ai soli soci SIEOG attraverso...
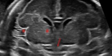
Leggi di piùCari soci, questo mese un nuovo video "How to do", sull'approccio avanzato all'encefalo fetale, ovvero sulla Neurosonografia. Grazie ad Andrea Dall'Asta! Il video è accessibile ai soli soci SIEOG attraverso...
Leggi di piùCari soci, questo mese un nuovo video "How to do", sull'approccio base allo studio della fossa cranica posteriore. Grazie a Daniele Di Mascio! Il video è accessibile ai soli soci...
Leggi di piùPowered by OLOMEDIA - © 2020
Powered by OLOMEDIA - © 2020