L’Ecografia nel Primo Trimestre
I membri del comitato di studio SIEOG sul primo trimestre ci presentano i temi più caldi del momento relativi all'ecografia...
I membri del comitato di studio SIEOG sul primo trimestre ci presentano i temi più caldi del momento relativi all'ecografia...
Ecco disponibili per i soci SIEOG i primi due Journal Club del 2021, uno relativo alle patologie ostruttive del tratto...
Cari soci, ecco la soluzione del primo caso del 2021! Siete stati in grado di dare la risposta corretta? ...
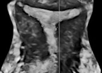
Cari soci, il 2021 si apre con un interessante video "How to do", sul ruolo dell'ecografia nella diagnosi delle lacerazioni...
Cari soci, vi proponiamo un documento relativo al DNA fetale libero, con particolare attenzione ai casi risultanti in alto rischio, sesso discordante...
La Dr.ssa Dorella Franchi ci guiderà attraverso il complesso mondo delle masse ovariche maligne! Per i soci SIEOG la registrazione...
Carissimi Soci, finalmente potrete rivedere le relazioni del recente corso web avanzato su "Doppler Velocimetria nella Patologia Ostetrica". DI seguito...
Cari soci, Il comitato di studio SIEOG sulla crescita fetale ci guida nell'accattivante programma di questo Webinar in un'ora di...
Finalmente on line il nuovo video "How to do" di dicembre! Questo mese scopriremo come eseguire una misura corretta del...
Carissimi soci, finalmente disponibile il Journal Club di Dicembre, che tratta i criteri ecografici per la definizione delle malformazioni uterine...
Powered by OLOMEDIA - © 2020
Powered by OLOMEDIA - © 2020