Journal Club Maggio 2021
Ecco disponibili per i soci SIEOG i Journal Club di maggio 2021, uno relativo all'esame neurosonografico fetale nel primo trimestre,...
Ecco disponibili per i soci SIEOG i Journal Club di maggio 2021, uno relativo all'esame neurosonografico fetale nel primo trimestre,...
Cari soci, finalmente la soluzione del caso del mese di maggio! Per questo caso è disponibile anche un breve VIDEO...
Cari soci, questo mese un nuovo video "How to do", sulla diagnosi ecografia di aborto nel primo trimestre. Grazie a...
Cari soci, nel ricordare i prossimi eventi scientifici previsti, ci teniamo a sottolineare la deadline per l'invio degli abstract per...
Cari soci, questo mese un nuovo video "How to do", sull'approccio ecografico per l'endometriosi anteriore e posteriore. Grazie ad Alba...
Ecco disponibili per i soci SIEOG i Journal Club di aprile 2021, uno relativo all'applicazione del sequenziamento esomico in caso...
Cari soci, finalmente on line la soluzione del caso del mese di aprile!! Scarica...
Carissimi Soci, finalmente potrete rivedere le relazioni del recente corso web avanzato sul "Ruolo dello studio dell'Emodinamica Materna". DI seguito...
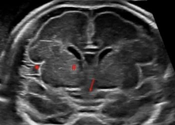
Cari soci, questo mese un nuovo video "How to do", sull'approccio avanzato all'encefalo fetale, ovvero sulla Neurosonografia. Grazie ad Andrea...
Ecco disponibili per i soci SIEOG i Journal Club di marzo 2021, uno relativo alla diagnosi di malformazioni fetali nel...
Powered by OLOMEDIA - © 2020
Powered by OLOMEDIA - © 2020